Fractures du Poignet
QU'EST CE QU'UNE FRACTURE DU POIGNET?
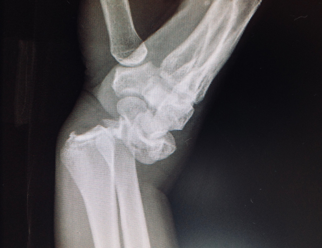
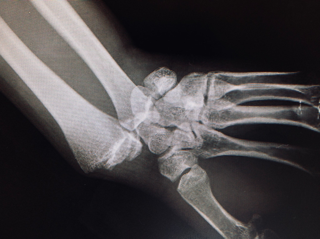
Quand on se casse un os, on dit qu'il est fracturé. Le poignet est constitué par 2 os : le radius et l'ulna. Le plus souvent, quand on parle de fracture du poignet, on parle en réalité de fracture du radius distal, le radius étant l'un des deux os de l'avant bras et le plus souvent atteint en cas de fracture.

CAUSES
Ces fractures surviennent généralement chez les personnes âgées atteintes de maladie ostéoporotique après des chutes de leur propre taille, cependant, les blessures à haute énergie telles que les accidents de la route ou les sports de contact sont une cause fréquente de fractures du radius distal chez les jeunes patients.
SYMTÔMES
La douleur, l'hématome, la déformation, le raccourcissement ou une position anormale sont les signes usuels.
DIAGNOSTIC
L'examen physique et les radiographies sont essentiels pour le diagnostic précis de ces fractures et pour orienter le traitement. Les radiographies standards peuvent être complétées par un examen scanner si la fracture est intra-articulaire.
TRAITEMENT
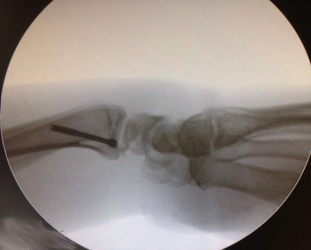
Il faut différencier les fractures extra-articulaires qui respectent l'articulation radio-carpienne et les fractures articulaires dans lesquelles le trait de fracture abîme le cartilage. Traitement orthopédique: Si la fracture n'est pas déplacée, c'est-à- dire si le poignet a conservé sa forme, et si l'os est de bonne qualité, et la fracture est extra-articulaire : une immobilisation peut être mise en place pour une durée de 4 à 5 semaines. Si la fracture est déplacée et/ou si l'os est de mauvaise qualité, l'intervention chirurgicale est indiquée. Cette opération aura pour but de "redresser" le poignet et de mettre en place du matériel d'ostéosynthèse pour maintenir l'os en place. Il existe plusieurs méthodes d'ostéosynthèse dont voici les plus fréquents:
- Embrochage : consiste à passer des broches (d'un diamètre de 1,5 millimètres) à travers de
petites incisions réalisées dans la peau jusque dans l'os. broches sont enlevées au bout de
5 semaines. Ces broches nécessitent souvent une immobilisation complémentaire par
attelle.
- Vissage simple : Certaines fractures peuvent être traitées par un vissage.
- Osteosynthèse par plaque: c'est la technique plus utilisée. A travers une voie d'abord
chirurgicale : la peau et les tissus sous-jacents sont ouverts sur plusieurs centimètres afin
d'exposer le foyer de fracture. La fracture est alors réduite : le chirurgien mobilise les
fragments osseux avec différents instruments pour les remettre en " bonne position ". La
plaque est alors fixée à l'os par des vis.
- Cas 1 (fractura de radio distal intraticular tratada con placa)
- Cas 2 (fractura conminuta de radio tratada con placa larga)
Fracture du scaphoïde
INTRODUCTION
Le scaphoïde est un des principaux os du poignet, il appartient à la première rangée des os du carpe. La vascularisation du scaphoïde est précaire, ses vaisseaux proviennent uniquement du pole distal ce qui explique les problèmes de consolidation du scaphoïde, en particulier pour les fractures du pole proximal qui sont davantage éloignées des vaisseaux nouriciers.

CAUSES
Une fracture du scaphoïde dans la plupart des cas est causée par une chute sur la main tendue. Le scaphoïde peut être prise en sandwich entre la rangée du carpe et du radius, ce qui conduit finalement à sa rupture. Les accidents de circulation et de sport peuvent également provoquer une fracture du scaphoïde.
SYMPTÔMES
Une fracture est souvent peu apparente car les signes ont limités. Un des signes classiques est une douleur à la palpation de la tabatière anatomique, c'est-à- dire dans la petite dépression qui se forme au niveau du poignet lorsque vous étendez votre pouce.
DIAGNOSTIC
Le diagnostic de fracture du scaphoïde se fait à la radiographie standard du poignet. Lors des fractures strictement non déplacée, il est parfois difficile de voir le trait de fracture, et on fait le diagnostic en réalisant un scanner.

TRAITEMENT
Dans le cas des fractures non déplacées, il est possible de procéder à un traitement orthopédique par immobilisation du poignet avec attèle pour 3 mois. La durée d'immobilisation est liée à la lenteur de consolidation de ce petit os. Toujours dans le cadre des fractures non déplacées, il est possible d'améliorer le confort en pratiquant une intervention chirurgicale quasiment sans cicatrice (percutanée), qui consiste à visser en compression le scaphoïde. Cette intervention chirurgicale a pour avantage de ne pas immobiliser le poignet, et de débuter immédiatement une rééducation. En cas de fracture déplacée du scaphoïde, il faut réaliser une intervention chirurgicale pour réduire la fracture et la maintenir en place par une vis en compression. Cette intervention se fait par une voie d'abord percutanée ou quand ceci n'est pas possible par une technique à ciel ouvert et après l'opération il est habituel de commencer une rééducation immédiate.

Arthroscopie du poignet
INTRODUCTION
Il s'agit d'une technique relativement récente apparue au début des années 1990, utilisant une caméra et des instruments miniaturisés, pouvant être introduit par des orifices de quelques millimètres dans le poignet. Le chirurgien peut donc explorer l'ensemble des éléments anatomiques situés dans l'articulation via la caméra et un écran vidéo. Cette technique permet un diagnostic précis des différentes lésions articulaires et permet également de traiter un certain nombre de ces lésions.

INDICATIONS
Outre une exploration précise du cartilage, des ligaments, de la mobilité des différents os entre eux, cette technique va permettre de traiter un certain nombre de lésions.
- Une rupture ligamentaire.
- En cas de fracture ou de séquelles de fracture, Des fragments osseux ou cartilagineux fracturés pourront être remis en place et fixés.
- En cas de désinsertion du ligament triangulaire, celui-ci pourra être suturé sous contrôle arthroscopique.
- En cas de fracture du scaphoïde, un éventuel brochage ou vissage de la fracture pourra être contrôlé parfaitement par cette technique.
- Un kyste synovial pourra être complètement enlevé par l'intérieur de l'articulation.
INTERVENTION
Sous anesthésie régionale, le bras du patient est placé dans un système de traction. Un arthroscope de 2,5mm est alors introduit dans l'articulation, de même que de petits instruments pour explorer le poignet et débrider les ligaments déchirés ou ronger le cartilage usé.
AVANTAGES
L'arthroscopie a permis la compréhension de lésions auparavant inconnues, et le traitement de lésions qui n'étaient auparavant pas accesibles dans de bonnes conditions à un traitement quirurgical. Par rapport aux interventions à ciel ouvert, l'arthroscopie permet une reprise des activités plus rapide du fait de la réalisation d'un acte chirurgical peu invasif avec des petites incisions et moins délabrant respectant les structures anatomiques notamment capsulo-ligamentaires. Elle permet également de bénéficier d'une vision articulaire per-opératoire des différents compartiments du poignet. La visualisation dynamique directe des structures ligamentaires et cartilagineuses permis une meilleure approche et compréhension du poignet, de ses contraintes et des différentes pathologies qui lui sont propres.